01
TOP
半年前,56岁的魏先生感冒了很久,总是咳嗽,后来还总能咳出带血的痰,加上胸闷不适等症状,他赶紧到医院检查,才发现自己患上了肺鳞状细胞癌。在医生的建议下,魏先生进行了放射治疗。放疗进行的很顺利,放疗结束后,魏先生的癌灶消失。但是放疗后半个多月的时间,魏先生因为受凉而再次出现了咳嗽症状,与上次不同的是,这次咳出的痰为黄色,量多且黏稠,伴有胸闷气急、口干咽燥,便秘...
02
TOP
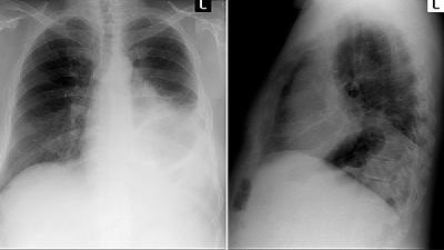
43岁的李峻这已经是今年第四次住进医院了,一年前他因为咳嗽胸痛而到医院检查,被诊断为间质性肺炎,但他换了三家医院,仍然没能治好。这一次,李峻在朋友的介绍下,来到了一所中医院。入院时,他的症状主要为阵发性剧烈咳嗽,直至咳出少量白色泡沫痰,才能停下来,每天都要这么咳上10几次才罢休。同时还出现了胸痛,胸部胀闷不适,汗多等症状。饮食及二便正常。医生查其舌质红,苔白...
03
TOP
26岁的梁生最近正忙于研究生毕业实验,结果不小心感冒了,又发烧又咳嗽,还越来越严重,到医院一检查才知道自己患上了病毒性肺炎梁生就诊时,症状如下:发热、咳嗽、气促、咳时胸痛,痰少口干,口唇轻度发绀两天未解大便,尿黄,舌红苔黄腻,脉洪大。相关检查显示:体温39.3C,,心率105次/min,律整,双肺闻及少许湿啰音、呼吸32次/min,血压15/9kPa;血常规...